Dr LEE Ming-Yueh 李明月医生

 Anatomy of the Eye    Cataract    Types of Cataract    Options of IOL    Case Scenarios  

Cataract


Every normal eye has a clear natural lens. The lens function is to focus light on to the retina and to form a clear image of what we see.

 

Cataract is due to clouding of the natural lens of our eyes. Our natural lens is basically made up of water and protein. With aging, degeneration process occurs gradually and the lens becomes cloudy/opaque. The cataractous lens obstructs light from reaching the retina. Thus, cataract causes gradual blurring of vision. The blurred vision due to cataract could not be corrected with glasses.

 

Effect of Cataract:

  • ‘double vision’

  • poor vision at night

  • ‘washed-out’ colour vision due to low contrast sensitivity

  • glare or seeing haloes at night; driving at night becomes difficult

 

Cataract Surgery

Cataract surgery is the standard treatment for cataract. Currently,there is no medicines that can clear the lens opacity effectively. So far, cataract surgery is the most beautifully evolved surgery among all over the years. It is also the most cost-effective surgery according to WHO. The advances in surgical technique and innovation on instruments have made cataract surgery easier and faster with very good success rate and with good predictable visual outcome.

 

Phacoemulsification Cataract Surgery

This is the most commonly performed technique for cataract surgery. It entails making a very small incision (about 2.75 mm or less) on the eye and by using a pentip-size instrument; the cloudy lens is broken and removed. An artificial intraocular lens (IOLs) is then inserted into its natural position in a capsular bag.. Most of the patients can be done under topical anaesthesia in15 minutes time. One would be surprised to see how quick and pain-free a cataract surgery could be!

 

When is the best time to go for Cataract Surgery?

Cataract surgery is advisable when your vision is blurred or when it starts to interfere with your daily activity.

The timing of cataract surgery sometimes depends on each individual’s visual requirement. Eg. A Taxi driver may need an early cataract surgery because he needs very good vision to drive a car; a housewife may still cope well when her early cataract only blocks 10-20 % of her vision.

 

What happen if you wait too long or not treated?

The lens will become more opaque and more dense and you will eventually lose your vision. Too dense a cataract makes cataract surgery difficult and more prone to surgical complications. Cataract surgeons may opt for old extra-capsular cataract extraction (ECCE) technique (where incision wound is larger) because phacoemulsification of a dense cataract may cause thermal injury to the cornea.

 

The worse senario is when the cataract becomes swollen and causes very high eye pressure needing emergency cataract surgery. A hypermature cataract may dislocate into the anterior chamber or posterior chamber of the eye. Cataract surgery at this complicated stage usually yields no good visual outcome.

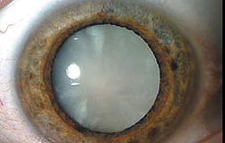
Mature Cataract
Fig: Mature Cataract
*image obtained from google images

 

Blur Vision
*image obtained from google images
   

Media

Dr Lee's Radio Interview at the Melody FM. 08/10/2020

什么原因会导致患上白内障? 如何预防以及减低患上白内障的机率?
有ParkCity Medical Centre, 眼科和青光眼外科医生顾问, 李明月医生和你一一分享

click here for Facebook Live Video